
Background
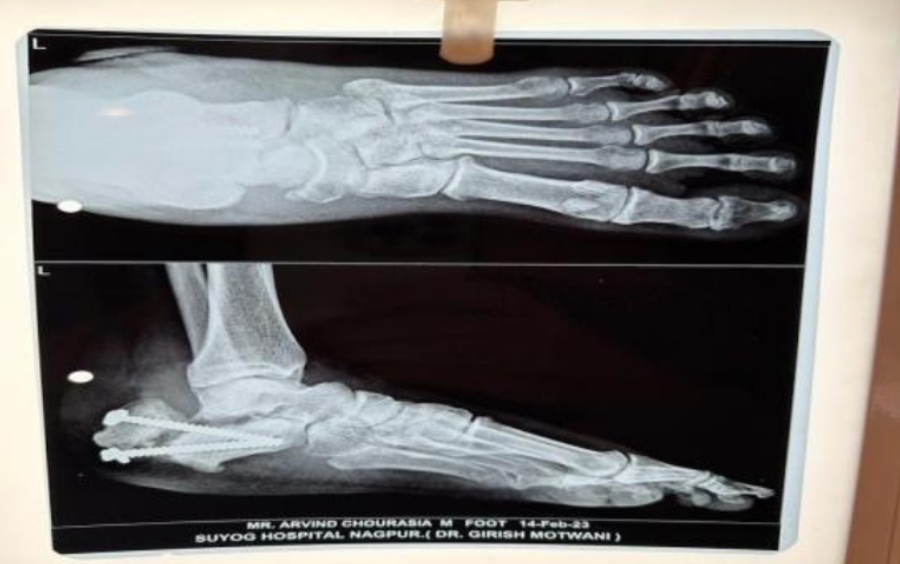
A 55-year-old advocate had successful treatment of chronic osteomyelitis through successive calcaneum bone replacement surgery at Suyog Hospital, Nagpur.
The procedure was carried out by Dr Girish Motwani, Central India's first foot and ankle surgeon.
The instance demonstrates the effectiveness of a two-stage therapy procedure and the use of a 3D-printed patient-specific device to treat the difficult ailment.
Elevate surgical planning
To new levels of precision and confidence



Solution
The Patient’s Case Presentation The patient had undergone closed reduction and internal fixation for a one-year-old left calcaneum bone fracture. Regretfully, he had persistent osteomyelitis of the calcaneum as a result of an infection at the surgery site. The illness remained after six months of conservative treatment, requiring another course of action.
Line of Treatment Dr. Girish Motwani used a two-phase therapeutic strategy. Read more


Conclusion
The implant was manufactured under ISO 13485 guidelines & tested to give an accurate fit & utmost safety. Once the resection was done, a customized implant from 3D Incredible was implanted.
Utilizing advanced technologies, such as 3D printing, has made it possible to create an implant that is specifically customized to fit the patient's anatomy. This example highlights how important customized surgical strategies, advanced methods, and the proficiency of skilled surgeons are to get the best outcomes possible for complicated foot diseases. Read more
