
Background
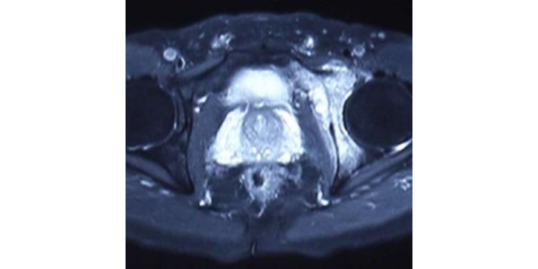
A male patient of 50 years old hailing from Mumbai, Maharashtra, presenting with complaints of pain in left groin. Imaging followed by Biopsy concluded Grade II Chondrosarcoma.
Dr. Manish Agarwal, India’s Leading Onco Orthopedic Surgeon in P.
D. Hinduja Hospital, Mumbai, Maharashtra decided to go for extracorporeal resection &
reimplantation (ECRT) as local line of treatment.
Read more
Quote from Doctor :
“Custom made cutting jigs allowed us to make precise bone-cuts as planned. Custom made plates further made reconstruction of the bone with anatomically contoured plates with desired screw trajectory for maximum hold, Custom plate allowed us to preserve the growth plate. We could customize the locking by predeciding the screw direction and position within bone. The custom plate fits the deformed bony contours and aids reduction.”

Elevate surgical planning
To new levels of precision and confidence



Solution
Dr. Manish Agarwal, India’s leading Onco Orthopedic surgeon in Mumbai, Maharashtra being a pioneer in using treated tumor bone/ECRT as a method of reconstruction aided surgeries studied medical history, imaging and histopathology reports. It was decided to proceed with ECRT line of treatment. Salvage of acetabulum with ECRT is more of challenging procedure due to complex anatomy of hip, limitation on access due to vital organs in pelvis and particularly due to functionality of load bearing joint. Hence Dr. Manish Agarwal decided to use patient specific cutting guide and patient specific anterior and posterior plate to fix radiated bone fragment back to the position to give maximum functional benefit to the patient. 3D Incredible team discussed with Dr. Agarwal, the designing and entire manufacturing process. Read more

Conclusion
Implant was manufactured under ISO 13485 guidelines & tested to give an accurate fit & utmost safety.
Cutting guides and jig from 3D Incredible helped the surgeon to give an accurate cut and complete the surgery in one go. Once the resection was done, customized plates from 3D Incredible was implanted. Plates were manufactured using Ti6Al4VELI, a biocompatible material; Read more
