
Background
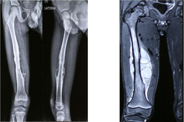
A male patient of 7-year-old hailing from Mumbai, Maharashtra, a student, was diagnosed with Periosteal Ewing`s Sarcoma of Right femur. Patient underwent Neoadjuvant Chemotherapy as part of treatment protocol.
After 9 cycles of NAC, shrinkage of soft tissue mass and bone edema was noted. There was resolution of periosteal reaction as well, all pointing to a favorable response to chemotherapy.
Dr. Manish Agarwal, India’s Leading Onco Orthopedic Surgeon in P. D. Hinduja Hospital, Mumbai
Read more
Elevate surgical planning
To new levels of precision and confidence



Solution
Dr. Manish Agarwal, India’s leading Onco Orthopedic surgeon in Mumbai, Maharashtra being a pioneer in treated tumor bone/ECRT aided surgeries studied medical history, imaging and histopathology reports. It was decided to proceed with ECRT line of treatment. The challenge was to salvage growing epiphyses in this 7 year-old boy’s femur thus using patient specific cutting guides and patient specific femur implant. Incredible team discussed with Dr. Agarwal, the designing and entire manufacturing process. It was initially started with surgical planning and case simulation with the help of US FDA & CE approved Materialise Mimics software by superimposing CT & MRI DICOM data & Anatomical Model. As Anatomical model maintained 1:1 ratio with the anatomy, hence showed excellent detailing of the defect, the model was also used to design jigs & implant on actual bone, which further helped the pre surgical planning. Once the planning was finalized, the surgery was accompanied with not only Customized Implant but also Cutting guides & Jigs. Read more

Conclusion
Implant was manufactured under ISO 13485 guidelines & tested to give an accurate fit & utmost safety. Cutting Guides and Jigs from 3D Incredible helped the Surgeon to give an accurate cut and complete the surgery in one go. Once the resection was done, customized implant from 3D Incredible was implanted. Implant was manufactured using Ti6Al4VELI, a biocompatible material; as per anatomical requirement, contour and bone thickness which are patient specific. 3D Incredible customized cutting jig and customized implant helped to reduce OT as there was no further adaption of standard implant required on OT Table.
Implant has novel C arm/clamp design on proximal and distal part of plate to ensure proper holding of plate to the bone fragment to enhance faster recovery of femur post ECRT surgery. As the entire process was carried out in one surgery. At Incredible AM Pvt Ltd rigorous testing & validation of its plant, equipment and process is carried out to ensure safety and quality of the Implant.
